Blog
Our latest perspective on innovations and trends changing the world of Radiology.
Recommended Health Screenings for Different Stages of Life
Regular health screenings are essential for maintaining good health.
6 Innovations in Radiology You Need to Know About
The world of healthcare is constantly changing and evolving with the introduction of new technologies, innovations and practices.
The Importance of Health Screenings
Many people wait until they are sick or displaying symptoms of disease to go to the doctor, but having annual check-ups and regular health screenings is essential for maintaining good health.
8 Ways to Strengthen Your Immunity and Keep Your Lungs Healthy
Having a healthy immune system is important because it supports your body’s ability to fight disease and infection.
How to Examine COVID-19 with Chest X-Rays and CT Scans
Now that COVID-19 has spread across the entire world, hospitals and healthcare systems are struggling to avoid being overwhelmed.
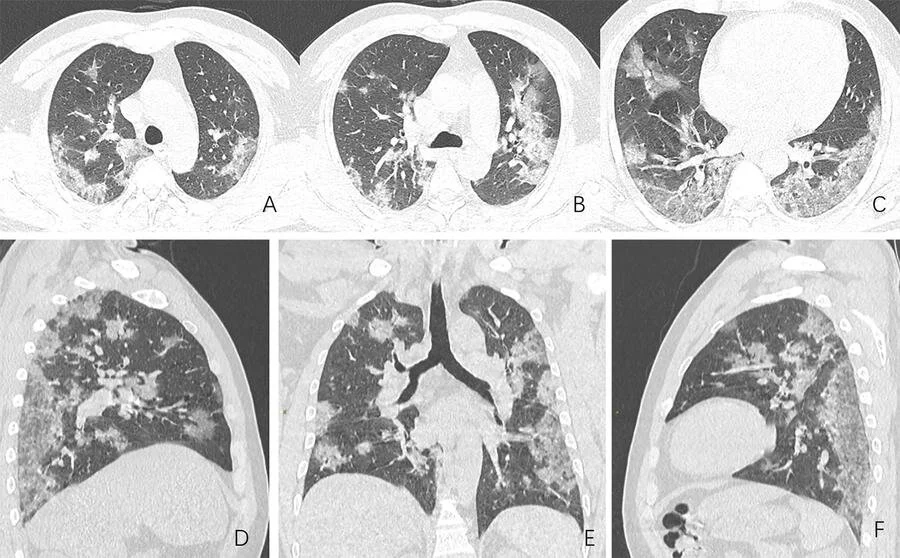
What COVID-19 Looks Like in the Lungs
COVID-19 is an infectious illness caused by a new coronavirus that can infect a person’s respiratory tract by latching onto receptors in healthy cells, especially in the lungs.
How Accountable Care Organizations (ACOs) Are Responding to COVID-19
An Accountable Care Organization (ACO) is a network or group of hospitals, doctors and other health care providers that come together to share financial and medical responsibility for providing coordinated care to Medicare patients.
5 Solutions to Improve Hospital Surge and Patient Triage
On April 10, the United States surpassed Italy for the most confirmed coronavirus deaths in the world.
Within Health Pledges to Help the NYC Community in the Fight Against COVID-19 by Increasing Access to Chest X-Rays
With COVID-19 disproportionately impacting the state of New York, we at Within Health, stand ready to answer Governor Cuomo’s call for help.
The Growing Importance Of Telehealth
In today’s age we have more access than ever before to virtual tools that help us manage our health care remotely and receive the medical services we need.
Get in Touch
Speak to one of our experts and see how we can drive clinical action at your organization.

